Bespoke Smile Makeover With Premium Porcelain Veneer
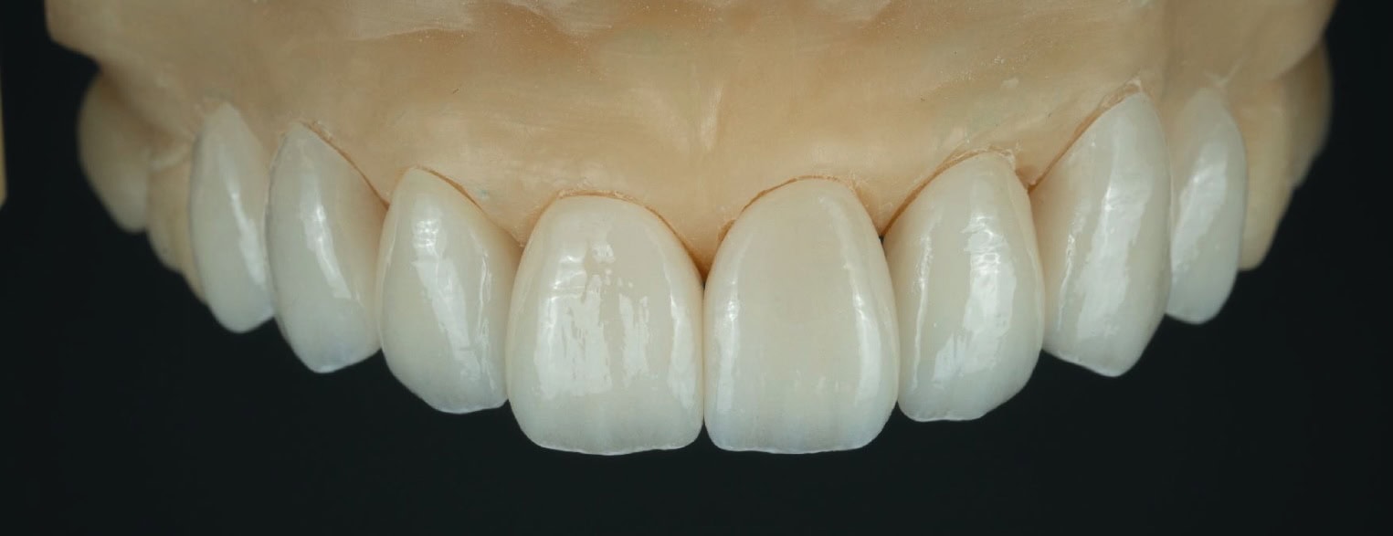
Book a ConsultationIn this case, we crafted a stunning, clean, and naturally white smile through our advanced smile makeover program. Using premium porcelain veneers—an internationally trusted material supported by extensive studies—we achieved exceptional results.
At GrandDent Dental Clinic, the entire process was overseen by our American Board-certified prosthodontist from start to finish. Every detail was meticulously refined and checked by our prosthodontist in collaboration with master technicians, ensuring precision and excellence in every aspect of the treatment.
The final result is a beautiful smile that is clean, white, and perfectly natural-looking, reflecting the expertise and commitment to quality that define our care at GrandDent Dental Clinic.
Procedure: Porcelain veneer, Bespoke smile makeover program


