Smile Rejuvenation With Ceramic Crowns, Veneers and Dental Implants
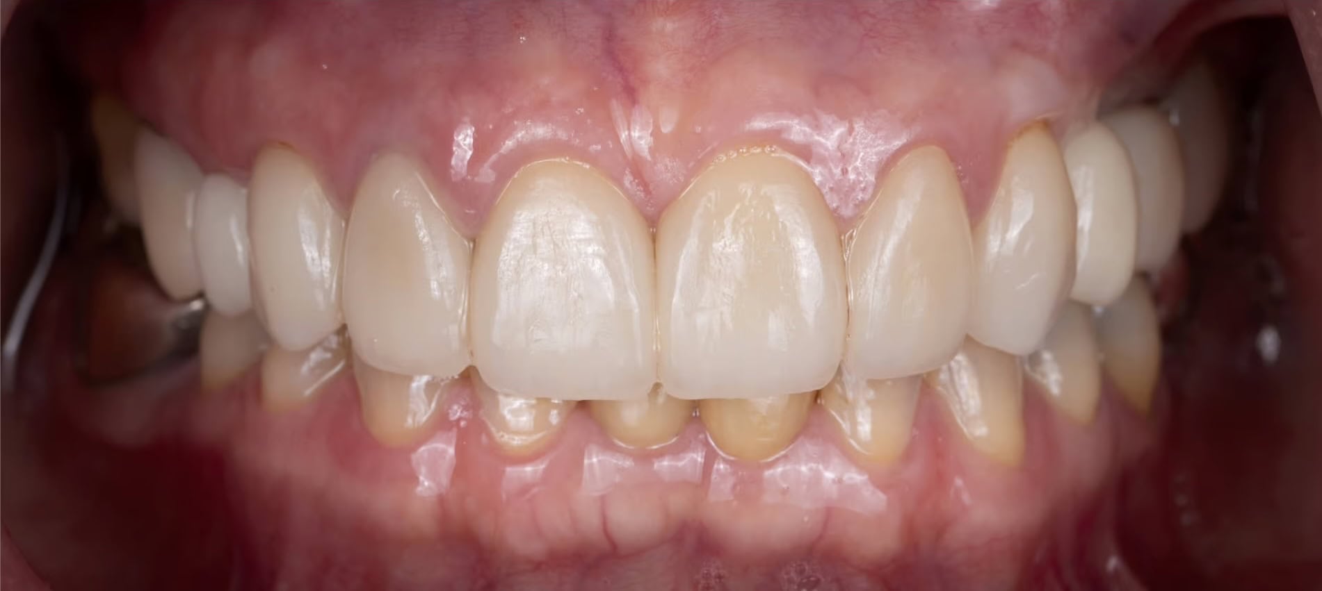
Book a ConsultationThe patient presented with defective restorations, including old, leaking fillings and crowns with poor margins. These faulty restorations created gaps that were difficult to clean properly, despite the patient’s diligent oral hygiene efforts.
At GrandDent Dental Clinic, our American Board-certified prosthodontist meticulously restored the patient’s oral health and smile. We removed all decay, infections, and defective restorations, replacing them with high-quality, well-sealed restorations. The new restorations are designed to be easily cleanable and compatible with the surrounding gum tissue, ensuring optimal oral health.
Using advanced ceramic restorations and dental implants, we recreated a beautiful, functional smile while prioritizing the longevity of the treatment. Our approach is grounded in evidence-based dentistry, supported by world-class studies and research, ensuring that every procedure we perform meets the highest standards of care.
With a team of dental specialists under one roof, GrandDent Dental Clinic is committed to providing our patients with the best possible dental care, tailored to their needs and supported by expertise and innovation.


