Home
About
Our Team
Gallery
Our Service
Premium Dental Implant
Overdenture
All-On-4 and All-On-6 Dental Implant
Full Mouth Reconstruction / Rehabilitation
Crown Implant
Tooth Whitening
Dental Veneers
Dental Cleaning
Filling
Endodontic Treatment
Orthodontics
Oral Surgery
Bespoke Smile Makeover
Before & After
Your treatment
Price List
Blog
Contact Us
English
English
ไทย
Home
About
Our Team
Gallery
Our Service
Premium Dental Implant
Overdenture
All-On-4 and All-On-6 Dental Implant
Full Mouth Reconstruction / Rehabilitation
Crown Implant
Tooth Whitening
Dental Veneers
Dental Cleaning
Filling
Endodontic Treatment
Orthodontics
Oral Surgery
Bespoke Smile Makeover
Before & After
Your treatment
Price List
Blog
Contact Us
English
English
ไทย
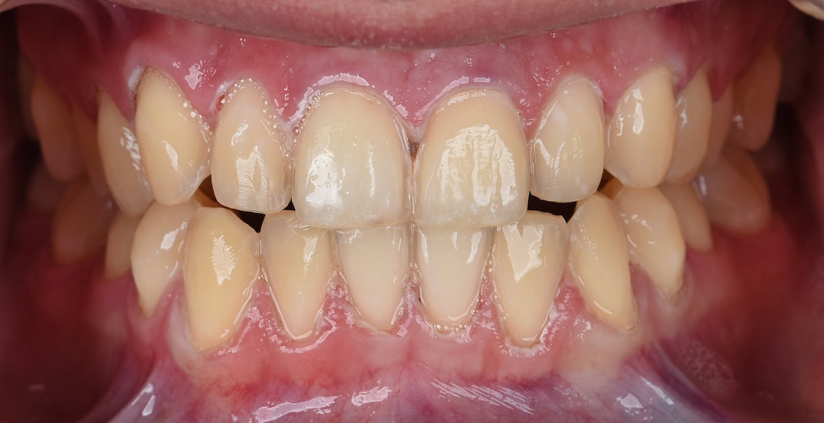
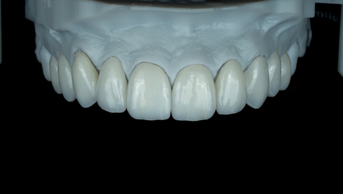
Bespoke Smile Makeover With Premium Porcelain Veneer
Book a Consultation
Doctor
Dr. Hattapol Kumchai
Service
Bespoke Smile Makeover
Procedure: Bespoke smile makeover program