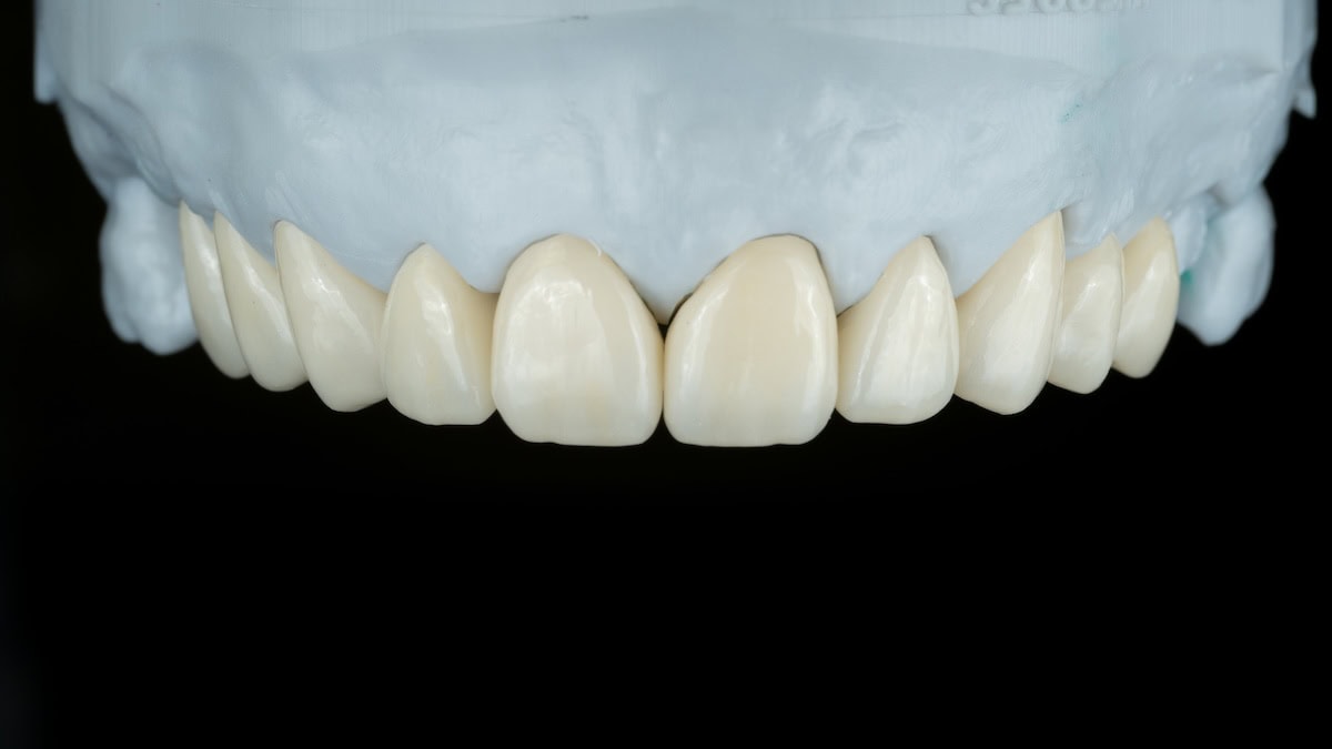
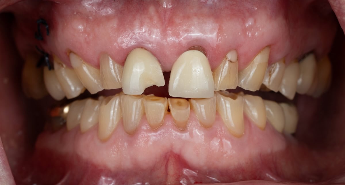
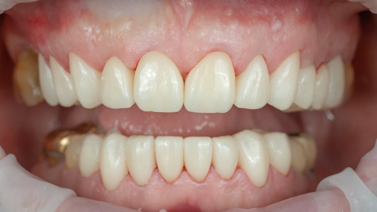
Bespoke Smile Makeover With Premium Porcelain Veneer

Book a Consultation
Procedure: Bespoke smile makeover program