Full Mouth Rehabilitation
Book a ConsultationThe patient presented with the loss of most of her teeth, which resulted in significant functional and aesthetic challenges. The absence of posterior teeth led to a loss of vertical dimension, impairing proper chewing and function. Missing front teeth affected speech clarity, causing air to escape during pronunciation and severely impacting the patient’s confidence when speaking or smiling. This physical condition also took a toll on her mental well-being.
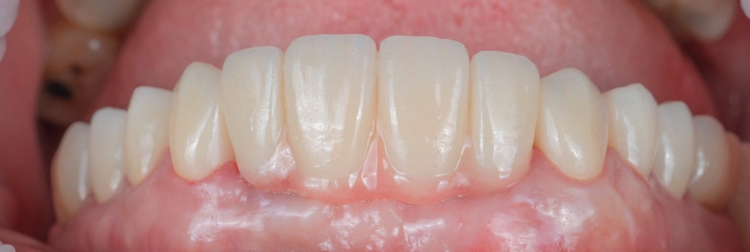
At GrandDent Dental Clinic, we meticulously restored her full dentition and bite to rebuild oral function, improve aesthetics, and enhance overall oral health. We prioritize not only the immediate results but also the longevity of our treatments, ensuring that every procedure we provide is designed to last as long as possible. This commitment underscores our dedication to achieving long-term success for our patients.
For this case, we reconstructed the entire mouth using zirconia crowns and replaced the missing teeth with dental implants. The outcome was a harmonious, natural-looking smile that restored both function and aesthetics. The patient now enjoys improved oral health, which ultimately contributes to her overall health and well-being.


